A Powerful Tool

Preventative Imaging & Health Screenings

Advanced Preventative Imaging Services

Early detection is one of the most powerful tools in preventing serious health conditions before they become life-threatening. Better Health Medical Center and our imaging center partners, offer a range of advanced preventative imaging services designed to assess critical aspects of your health, identify potential risks, and provide you with valuable insights to take proactive steps toward wellness.

These imaging options allow for direct access to cutting-edge diagnostic scans without the need for insurance approvals or delays. Whether you're monitoring cardiovascular health, assessing brain function, or evaluating metabolic risks, these preventative imaging services provide clear, accurate results that can guide your healthcare decisions.

Why Choose Preventative Imaging?

Many serious health conditions, such as heart disease, stroke, aneurysms, and neurodegenerative diseases, often develop silently, showing little to no symptoms in their early stages. By using state-of-the-art imaging technology, we can detect abnormalities before they progress, allowing for timely interventions, lifestyle adjustments, and targeted treatments to help you stay healthier for longer.

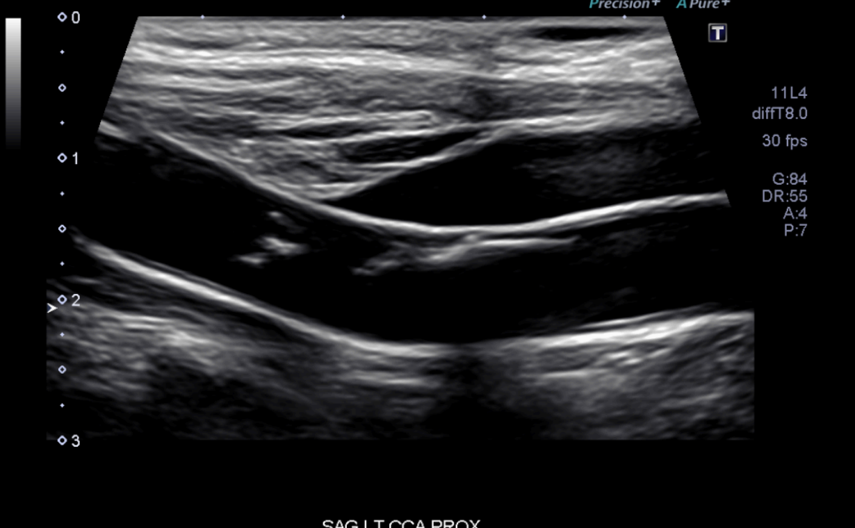
Vascular Health

Carotid Artery Images

These images display detailed test results and readings from carotid artery scans, offering critical insights into vascular health. The data includes ultrasound imaging, blood flow velocity measurements, and plaque assessments, helping to evaluate the risk of stroke and cardiovascular conditions. These readings assist medical professionals in diagnosing potential blockages, monitoring arterial health, and guiding treatment plans for optimal patient care.

Heart Health

Coronary Calcium Score Imaging

These images represent the results of coronary calcium scoring, a specialized imaging test that measures the amount of calcium buildup in the coronary arteries. Using CT (computed tomography) scanning, this test helps assess the presence of atherosclerosis (hardening of the arteries) and estimates the risk of heart disease, heart attacks, and other cardiovascular conditions. A higher calcium score indicates greater plaque buildup, while a lower score suggests a lower risk. This non-invasive test provides valuable insights for early detection and preventive heart health management.

Brain Health

NeuroQuant Brain Imaging Analysis

These images showcase NeuroQuant, an advanced MRI analysis tool that provides precise, automated measurements of brain structures. By comparing these scans to an age-matched database, NeuroQuant helps detect subtle changes associated with Alzheimer’s disease, traumatic brain injury (TBI), multiple sclerosis (MS), epilepsy, and other neurological conditions. The detailed volumetric data aids in early diagnosis, disease monitoring, and treatment planning, offering valuable insights into brain health.

Brain Health

3D MPRAGE

3D MPRAGE (Magnetization Prepared Rapid Acquisition Gradient Echo) is a high-resolution MRI sequence commonly used for detailed brain imaging. It provides thin-slice, high-contrast, and high-resolution scans, making it particularly useful for detecting structural abnormalities, evaluating neurodegenerative diseases, and performing volumetric analyses.

This imaging technique is widely used in Alzheimer’s research, multiple sclerosis (MS) diagnosis, epilepsy evaluation, and brain tumor detection, as it offers excellent gray and white matter differentiation. 3D MPRAGE is also essential for advanced imaging software like NeuroQuant, which relies on these high-quality scans for precise volumetric analysis.

We Can Help

Helping you stay healthy for longer.

Contact Us